Vô sinh hiếm muộn là một trong những vấn đề đáng lo ngại của nhiều cặp vợ chồng hiện nay. Trong đó, hội chứng buồng trứng đa nang được xem là nguyên nhân hàng đầu gây rối loạn chức năng sinh sản ở phụ nữ trong độ tuổi sinh sản. Một trong những phương pháp hiệu quả và phổ biến nhất hiện nay để phát hiện hội chứng này chính là siêu âm buồng trứng đa nang. Với khả năng cung cấp hình ảnh chi tiết về cấu trúc buồng trứng, siêu âm giúp bác sĩ nhanh chóng đánh giá tình trạng sức khỏe sinh sản của người phụ nữ, từ đó có hướng điều trị kịp thời để cải thiện khả năng thụ thai.
Buồng trứng đa nang – nguyên nhân phổ biến gây hiếm muộn
Hội chứng buồng trứng đa nang là gì?
Hội chứng buồng trứng đa nang (Polycystic Ovary Syndrome – PCOS) là một rối loạn nội tiết phổ biến ở phụ nữ trong độ tuổi sinh sản. Tình trạng này khiến cho buồng trứng có nhiều nang nhỏ, làm rối loạn quá trình rụng trứng và sản xuất hormone sinh sản. Biểu hiện phổ biến nhất của PCOS bao gồm: Kinh nguyệt không đều, rậm lông, tăng cân khó kiểm soát, mụn trứng cá và đặc biệt là khó mang thai.
Theo Tổ chức Y tế Thế giới (World Health Organization – WHO), có khoảng 8-13% phụ nữ trong độ tuổi sinh sản mắc hội chứng này. Nhiều trường hợp không được phát hiện sớm dẫn đến các biến chứng như hiếm muộn, tiểu đường type 2, bệnh tim mạch và nguy cơ ung thư nội mạc tử cung.
Mối liên hệ giữa PCOS và hiếm muộn
PCOS ảnh hưởng trực tiếp đến quá trình rụng trứng, đây là yếu tố then chốt trong việc thụ thai. Khi không rụng trứng đều đặn, cơ hội gặp nhau giữa tinh trùng và trứng giảm đi rõ rệt. Ngoài ra, rối loạn hormone nội tiết cũng ảnh hưởng đến sự phát triển của nội mạc tử cung, làm cho phôi thai khó bám và phát triển.
Vì vậy, việc phát hiện sớm hội chứng buồng trứng đa nang có ý nghĩa cực kỳ quan trọng trong việc chẩn đoán và điều trị các vấn đề liên quan đến hiếm muộn.
Siêu âm buồng trứng đa nang – công cụ chẩn đoán hiệu quả
Trong quá trình thăm khám và đánh giá sức khỏe sinh sản, đặc biệt khi nghi ngờ hội chứng buồng trứng đa nang, siêu âm là một phương pháp chẩn đoán hình ảnh không thể thiếu. Nhờ khả năng quan sát trực tiếp cấu trúc buồng trứng và các cơ quan sinh sản, siêu âm trở thành bước đầu tiên quan trọng trong hành trình phát hiện và điều trị bệnh lý này.
Siêu âm buồng trứng là gì?
Siêu âm buồng trứng là một kỹ thuật chẩn đoán hình ảnh sử dụng sóng siêu âm để quan sát hình ảnh của buồng trứng và các cơ quan sinh sản khác trong khung chậu. Đây là một trong những phương pháp đầu tiên được chỉ định khi bác sĩ nghi ngờ bệnh nhân có dấu hiệu bất thường về rụng trứng hoặc gặp khó khăn trong việc mang thai.
Có hai loại siêu âm phổ biến được sử dụng:
- Siêu âm ổ bụng: Thực hiện bên ngoài thành bụng. Thường áp dụng cho phụ nữ chưa quan hệ tình dục.
- Siêu âm đầu dò âm đạo: Cho hình ảnh chi tiết và chính xác hơn, được áp dụng rộng rãi ở phụ nữ đã có quan hệ tình dục.
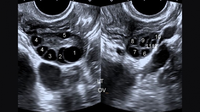
Siêu âm buồng trứng đa nang giúp phát hiện gì?
Siêu âm buồng trứng đa nang giúp bác sĩ quan sát trực tiếp cấu trúc của buồng trứng. Một số dấu hiệu đặc trưng có thể thấy được qua hình ảnh siêu âm bao gồm:
- Buồng trứng có nhiều nang nhỏ (từ 12 nang trở lên, mỗi nang có kích thước 2-9mm).
- Buồng trứng có kích thước lớn hơn bình thường.
- Nang xếp vòng quanh ngoại vi buồng trứng, hình ảnh còn được gọi là “vòng hoa”.
Dựa vào các đặc điểm này kết hợp với triệu chứng lâm sàng (kinh nguyệt không đều, rối loạn hormone…), bác sĩ sẽ đưa ra chẩn đoán chính xác về tình trạng PCOS của bệnh nhân.

Siêu âm buồng trứng là kỹ thuật dùng sóng siêu âm để quan sát buồng trứng và cơ quan sinh sản trong khung chậu
Tầm quan trọng của siêu âm buồng trứng đa nang trong chẩn đoán hiếm muộn
Dưới đây là những lý do giải thích vì sao siêu âm buồng trứng lại có ý nghĩa đặc biệt quan trọng trong quá trình chẩn đoán hiếm muộn:
Phát hiện nguyên nhân gây rối loạn rụng trứng
Hiếm muộn do rối loạn rụng trứng là một trong những nguyên nhân phổ biến và khó phát hiện nếu không có sự hỗ trợ từ các công cụ chẩn đoán. Siêu âm cho phép xác định xem buồng trứng có nang phát triển không, có hiện tượng rụng trứng hay không, từ đó giúp bác sĩ hiểu rõ nguyên nhân gây hiếm muộn ở từng bệnh nhân.
Xác định kế hoạch điều trị phù hợp
Một khi đã xác định được bệnh nhân mắc PCOS qua siêu âm, bác sĩ có thể đưa ra phác đồ điều trị cá nhân hóa như: Kích thích rụng trứng, điều chỉnh nội tiết tố, thay đổi chế độ ăn uống, tập luyện hoặc hỗ trợ sinh sản bằng phương pháp bơm tinh trùng vào buồng tử cung (Intrauterine Insemination – IUI) hoặc thụ tinh ống nghiệm (In Vitro Fertilization – IVF) nếu cần thiết.
Theo dõi tiến triển trong quá trình điều trị
Siêu âm không chỉ hữu ích trong việc chẩn đoán ban đầu mà còn là công cụ quan trọng trong quá trình theo dõi điều trị. Qua mỗi chu kỳ điều trị, bác sĩ sẽ sử dụng siêu âm để theo dõi sự phát triển của nang trứng, đánh giá phản ứng của buồng trứng với thuốc, từ đó điều chỉnh liều lượng và thời gian can thiệp cho phù hợp.
Giảm thiểu các biến chứng
Phát hiện sớm PCOS qua siêu âm giúp phòng ngừa và kiểm soát các biến chứng nguy hiểm như: Hội chứng quá kích buồng trứng, rối loạn chuyển hóa, đái tháo đường type 2, bệnh tim mạch và nguy cơ ung thư nội mạc tử cung.
Những lưu ý quan trọng khi thực hiện siêu âm buồng trứng đa nang
Để đảm bảo kết quả siêu âm buồng trứng đa nang chính xác và hỗ trợ tối ưu cho quá trình chẩn đoán, điều trị, bạn cần lưu ý những điểm sau:
Lựa chọn thời điểm siêu âm phù hợp
Thời điểm lý tưởng để thực hiện siêu âm buồng trứng là từ ngày thứ 3 đến ngày thứ 5 của chu kỳ kinh nguyệt. Đây là giai đoạn buồng trứng đang trong trạng thái nghỉ, ít chịu ảnh hưởng của các hormone sinh dục, từ đó giúp bác sĩ dễ dàng quan sát kích thước, số lượng nang noãn và đánh giá chính xác cấu trúc buồng trứng.
Chuẩn bị đúng cách trước khi siêu âm
Tùy vào hình thức siêu âm được chỉ định, bạn cần chuẩn bị như sau:
- Siêu âm ổ bụng: Cần uống nhiều nước và nhịn tiểu trước khi siêu âm để làm căng bàng quang. Bàng quang căng sẽ giúp đẩy ruột ra khỏi vùng chậu, từ đó tạo điều kiện cho hình ảnh buồng trứng rõ nét hơn.
- Siêu âm đầu dò âm đạo: Nên đi tiểu trước khi siêu âm để bàng quang rỗng, giúp đầu dò tiếp cận gần buồng trứng hơn, tránh tình trạng hình ảnh bị che khuất hoặc gây khó chịu trong quá trình thực hiện.
Chọn cơ sở y tế uy tín
Việc lựa chọn địa chỉ siêu âm đáng tin cậy là yếu tố then chốt ảnh hưởng đến độ chính xác của kết quả. Bạn nên ưu tiên các cơ sở y tế chuyên khoa sản phụ khoa, nơi có đội ngũ bác sĩ giàu kinh nghiệm và hệ thống máy móc hiện đại.
Đặc biệt, với những người đang trong quá trình điều trị hiếm muộn hoặc rối loạn nội tiết, nên duy trì siêu âm định kỳ tại một cơ sở cố định. Điều này giúp theo dõi liên tục sự phát triển của nang noãn, đảm bảo kết quả nhất quán và hỗ trợ bác sĩ đưa ra hướng điều trị hiệu quả nhất.
Vì sao chọn VinUni để theo học ngành Y khoa – Điều dưỡng?
Chính sự phát triển của y học hiện đại đã giúp con người tiến gần hơn đến việc chẩn đoán và điều trị hiệu quả các vấn đề sinh sản, trong đó siêu âm buồng trứng đa nang đóng vai trò then chốt trong hành trình phát hiện nguyên nhân hiếm muộn. Để duy trì và nâng cao chất lượng chăm sóc sức khỏe toàn diện cho cộng đồng, cần có đội ngũ bác sĩ và chuyên gia y tế được đào tạo bài bản, có tư duy phản biện, đạo đức nghề nghiệp và khả năng cập nhật liên tục với tiến bộ y học toàn cầu.

Sinh viên Y khoa và Điều dưỡng VinUni được trang bị nền tảng vững chắc để góp phần nâng cao hệ thống chăm sóc sức khỏe trong nước và quốc tế
Tại Việt Nam, Viện Khoa học Sức khỏe của Trường Đại học VinUni đang thực hiện sứ mệnh đào tạo ra thế hệ bác sĩ xuất sắc thông qua chương trình Bác sĩ Y khoa được thiết kế dựa trên ba trụ cột: Lâm sàng, tính chuyên nghiệp và nghiên cứu. Sinh viên không chỉ được tiếp cận với kiến thức hiện đại mà còn có cơ hội thực hành thực tế, rèn luyện kỹ năng chẩn đoán và điều trị trong các tình huống thực tế như phát hiện và xử lý hội chứng buồng trứng đa nang. Tư duy đổi mới, lòng trắc ẩn và năng lực chuyên môn sẽ được phát triển toàn diện trong môi trường giáo dục đẳng cấp, hợp tác với các trường đại học tinh hoa trên thế giới.
Không chỉ dừng lại ở đào tạo bác sĩ, VinUni còn mang đến chương trình Cử nhân Điều dưỡng chuẩn quốc tế, giúp sinh viên nhận thức rõ vai trò không thể thiếu của người điều dưỡng trong hệ thống y tế. Điều dưỡng viên là người đồng hành sát sao với bệnh nhân, hỗ trợ bác sĩ trong quá trình chăm sóc và theo dõi sức khỏe toàn diện. Đây là những vấn đề đặc biệt quan trọng trong điều trị các vấn đề sức khỏe sinh sản và hiếm muộn.
Với chương trình giảng dạy hợp tác chiến lược cùng Đại học Pennsylvania, sinh viên ngành Y khoa và Điều dưỡng tại VinUni sẽ được trang bị nền tảng vững chắc để tạo nên những thay đổi tích cực và bền vững cho hệ thống chăm sóc sức khỏe tại Việt Nam và toàn cầu.
Xem thêm bài viết: Đau dây thần kinh liên sườn: Nguyên nhân, triệu chứng và cách điều trị hiệu quả













