Sự phát triển của công nghệ siêu âm trong y học hiện đại đã mở ra nhiều phương pháp chẩn đoán hiệu quả, không xâm lấn. Trong đó, siêu âm Doppler là một kỹ thuật tiên tiến cho phép quan sát dòng máu lưu thông trong cơ thể – điều mà siêu âm thông thường không thể thực hiện được. Vậy siêu âm Doppler là gì dùng khi nào, hãy cùng tìm hiểu chi tiết qua bài viết dưới đây nhé!
Siêu âm Doppler là gì?
Siêu âm Doppler là gì dùng khi nào là câu hỏi được nhiều người đặt ra khi lần đầu nghe đến phương pháp này. Đây là một kỹ thuật chẩn đoán hình ảnh đặc biệt, sử dụng hiệu ứng Doppler để đánh giá tốc độ và hướng dòng chảy của máu trong cơ thể. Không giống như siêu âm thông thường chỉ cho hình ảnh cấu trúc mô, siêu âm Doppler giúp bác sĩ quan sát hoạt động của hệ tuần hoàn, phát hiện các bất thường trong lưu thông máu.
Kỹ thuật này được đánh giá là an toàn, không xâm lấn, không gây đau và được ứng dụng rộng rãi trong tim mạch, sản khoa và nhiều chuyên khoa khác. Có 4 loại siêu âm Doppler phổ biến hiện nay là:
Siêu âm Doppler liên tục (Continuous Wave Doppler)
Siêu âm Doppler liên tục sử dụng hai đầu dò, một đầu phát sóng và một đầu thu sóng, hoạt động đồng thời để ghi nhận liên tục dòng chảy của máu. Kỹ thuật này cho phép đo các dòng máu có vận tốc rất cao, thường được sử dụng trong tim mạch để đánh giá hẹp van tim hoặc các luồng máu bất thường. Tuy nhiên, siêu âm Doppler liên tục không thể xác định chính xác vị trí dòng chảy vì không có khả năng định vị theo chiều sâu, do đó thường được kết hợp với các kỹ thuật siêu âm khác.
Siêu âm Doppler xung (Pulsed Wave Doppler)
Siêu âm Doppler xung cho phép phát sóng siêu âm theo từng đợt và thu tín hiệu phản hồi tại một điểm cụ thể trong cơ thể. Ưu điểm lớn của kỹ thuật này là khả năng định vị chính xác vị trí dòng máu cần khảo sát, phù hợp với các mạch máu có vận tốc thấp đến trung bình. Đây là phương pháp thường được sử dụng trong cả tim mạch và sản khoa, giúp đo lường dòng máu ở những vị trí cụ thể như động mạch rốn, tim thai hoặc động mạch cảnh.
Siêu âm Doppler năng lượng (Power Doppler)
Siêu âm Doppler năng lượng không hiển thị hướng hoặc vận tốc dòng chảy mà tập trung vào cường độ tín hiệu Doppler, giúp thể hiện độ tưới máu tại khu vực khảo sát. Phương pháp này rất nhạy với các dòng máu chảy chậm hoặc mạch máu nhỏ, do đó thường được ứng dụng trong sản khoa, phụ khoa, u tuyến giáp hoặc đánh giá khối u để xác định mức độ tưới máu. Mặc dù không cung cấp thông tin về hướng máu chảy, siêu âm Doppler năng lượng lại cho hình ảnh rõ ràng và độ nhạy cao.
Siêu âm Doppler màu (Color Doppler)
Doppler màu là sự kết hợp giữa siêu âm xám (B-mode) và Doppler, cho phép hiển thị hình ảnh dòng chảy máu dưới dạng màu sắc trên màn hình. Dòng máu chảy về phía đầu dò thường hiển thị màu đỏ, còn dòng chảy đi xa hiển thị màu xanh. Kỹ thuật này giúp bác sĩ quan sát trực quan hướng và tốc độ dòng máu, phát hiện nhanh bất thường trong mạch máu hoặc tim. Doppler màu thường được dùng rộng rãi trong tim mạch, sản khoa và mạch máu ngoại vi.
Ứng dụng của siêu âm Doppler
Hiện nay siêu âm Doppler được ứng dụng trên nhiều bộ phận cơ thể người như:
Siêu âm Doppler tim
Siêu âm Doppler tim giúp đánh giá lưu lượng máu chảy qua các buồng tim và van tim, từ đó phát hiện các bệnh lý tim mạch như hẹp, hở van tim, suy tim hoặc các bất thường về cấu trúc tim. Phương pháp này cho phép bác sĩ đo được tốc độ dòng máu, hướng di chuyển và áp lực trong các buồng tim mà không cần can thiệp xâm lấn. Đây là công cụ quan trọng trong chẩn đoán và theo dõi điều trị các bệnh lý tim mạch.
Siêu âm Doppler mạch máu
Doppler mạch máu được sử dụng để đánh giá tình trạng lưu thông máu trong động mạch và tĩnh mạch, đặc biệt là ở chi dưới, cổ và bụng. Kỹ thuật này giúp phát hiện hẹp, tắc, giãn hoặc huyết khối trong mạch máu – những yếu tố làm tăng nguy cơ đột quỵ, nhồi máu cơ tim hoặc thuyên tắc phổi. Đây là phương pháp chẩn đoán nhanh chóng, chính xác và không xâm lấn, thường được chỉ định trong bệnh lý mạch máu ngoại vi.
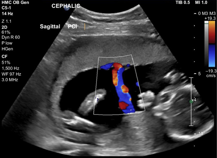
Siêu âm Doppler thai
Trong sản khoa, Doppler thai được sử dụng để theo dõi dòng máu trong động mạch rốn, động mạch não giữa và các mạch máu khác của thai nhi nhằm đánh giá tình trạng trao đổi oxy và dinh dưỡng giữa mẹ và con. Phương pháp này giúp phát hiện các tình trạng nguy hiểm như suy thai, thiểu ối, tăng huyết áp thai kỳ hoặc rối loạn tăng trưởng trong tử cung. Đây là kỹ thuật quan trọng trong quản lý thai kỳ nguy cơ cao.
Siêu âm Doppler phụ khoa
Doppler trong phụ khoa thường được sử dụng để đánh giá mức độ tưới máu của các khối u buồng trứng, tử cung hay các cấu trúc bất thường trong vùng chậu. Dựa trên chỉ số dòng chảy, bác sĩ có thể phân biệt u lành hay ác tính, từ đó hỗ trợ chẩn đoán ung thư phụ khoa. Kỹ thuật này cũng giúp theo dõi hiệu quả điều trị u xơ tử cung, lạc nội mạc tử cung hoặc các bất thường mạch máu vùng chậu.
Siêu âm Doppler xuyên sọ
Doppler xuyên sọ (Transcranial Doppler – TCD) là kỹ thuật siêu âm đặc biệt để đo tốc độ và hướng dòng máu chảy qua các động mạch lớn trong não. Phương pháp này giúp phát hiện hẹp, tắc hoặc co thắt mạch máu não – những yếu tố có thể dẫn đến đột quỵ hoặc thiếu máu não cục bộ. TCD thường được sử dụng trong chẩn đoán và theo dõi bệnh nhân sau đột quỵ, chấn thương sọ não hoặc bệnh lý mạch máu não khác.
Khi nào nên thực hiện siêu âm Doppler?
Siêu âm Doppler nên được thực hiện khi bác sĩ cần đánh giá tình trạng lưu thông máu trong các mạch máu hoặc cơ quan bên trong cơ thể. Trong lĩnh vực tim mạch, kỹ thuật này được chỉ định khi nghi ngờ các bệnh lý như hẹp hoặc hở van tim, suy tim, tăng áp động mạch phổi, hoặc các rối loạn dòng chảy trong buồng tim. Đối với hệ thống mạch máu ngoại vi, siêu âm Doppler giúp phát hiện các tình trạng hẹp, tắc nghẽn hoặc huyết khối ở động mạch và tĩnh mạch, đặc biệt là ở chi dưới, vùng cổ (động mạch cảnh), bụng hoặc thận. Đây là công cụ quan trọng để phòng ngừa và theo dõi bệnh lý đột quỵ, tai biến mạch máu não hoặc bệnh lý mạch ngoại biên.
Trong sản khoa, siêu âm Doppler thường được chỉ định ở giai đoạn giữa và cuối thai kỳ (từ tuần 20 trở đi), đặc biệt khi có dấu hiệu thai phát triển chậm, mẹ bị tăng huyết áp thai kỳ, tiền sản giật, hoặc có nguy cơ suy thai. Kỹ thuật này giúp đánh giá lưu lượng máu giữa mẹ và thai nhi, từ đó xác định nguy cơ thiếu oxy, kém phát triển hoặc tử vong thai trong tử cung. Ngoài ra, siêu âm Doppler còn được sử dụng trong phụ khoa để phân biệt u lành hay ác tính dựa trên mức độ tưới máu của khối u, cũng như trong chẩn đoán bệnh lý thần kinh khi cần khảo sát dòng máu trong não (Doppler xuyên sọ). Tùy theo từng mục đích, bác sĩ sẽ chỉ định loại Doppler phù hợp để đảm bảo chẩn đoán chính xác và can thiệp kịp thời.
Ưu điểm chương trình Bác sĩ Y khoa tại VinUni
Chương trình Bác sĩ Y khoa tại trường Đại học VinUni được đánh giá là một trong những chương trình đào tạo y khoa tiên tiến hàng đầu tại Việt Nam hiện nay. Với sứ mệnh trang bị cho sinh viên nền tảng kiến thức chuyên môn vững chắc, kỹ năng thực hành thành thạo và tư duy phản biện sắc bén, chương trình hướng đến việc đào tạo những bác sĩ không chỉ giỏi về chuyên môn mà còn có khả năng làm việc hiệu quả trong hệ thống y tế hiện đại và hội nhập quốc tế.
Một trong những điểm mạnh nổi bật của chương trình chính là hệ thống cơ sở vật chất được đầu tư bài bản, hiện đại và đồng bộ. VinUni sở hữu các phòng thí nghiệm y sinh học tiên tiến, cùng trung tâm mô phỏng y khoa ứng dụng công nghệ cao – nơi sinh viên có thể rèn luyện kỹ năng lâm sàng trong môi trường an toàn và sát thực tế, trước khi bước vào thực hành trên bệnh nhân thật.
Đặc biệt, VinUni duy trì mối quan hệ hợp tác chặt chẽ với Hệ thống Bệnh viện Đa khoa Quốc tế Vinmec – một trong những hệ thống y tế tư nhân hàng đầu tại Việt Nam. Điều này mang lại cho sinh viên cơ hội được thực tập, quan sát và tham gia chăm sóc, điều trị bệnh nhân trong môi trường y tế đạt chuẩn quốc tế, dưới sự hướng dẫn trực tiếp từ các bác sĩ giàu kinh nghiệm. Không dừng lại ở đó, VinUni còn tích cực mở rộng mạng lưới hợp tác với nhiều bệnh viện, viện nghiên cứu uy tín trong và ngoài nước, tạo điều kiện cho sinh viên được tiếp cận với thực tiễn lâm sàng, tham gia nghiên cứu khoa học và nâng cao năng lực chuyên môn ngay trong quá trình học tập.
Như vậy, bài viết trên đã giải thích chi tiết siêu âm Doppler là gì dùng khi nào. Với độ chính xác cao và tính an toàn, kỹ thuật này được ứng dụng rộng rãi trong nhiều lĩnh vực y tế, giúp phát hiện sớm các vấn đề tuần hoàn và hỗ trợ điều trị hiệu quả. Tuy nhiên để đảm bảo sức khỏe cho bản thân bạn đừng quên lựa chọn những cơ sở y tế uy tín cũng như tuân theo chỉ định từ bác sĩ nhé!
















